Cos’è la devitalizzazione?
La devitalizzazione (detta anche cura canalare o terapia canalare) consiste nella rimozione del tessuto pulpare del dente (nervo dentale). Dopo, aver rimosso il tessuto, il canale radicolare viene disinfettato e riempito con otturazione permanente. Questa procedura priva il dente delle terminazioni nervose e vascolari che lo fanno sensibile.
Quando è necessario di devitalizzare il dente?
La necessità di devitalizzare un dente appare quando il nervo del dente è danneggiato in maniera irreversibile (quando il tessuto pulpare si infiamma o si infetta). Questa patologia è stata chiamata in odontoiatria “la pulpite“. Clicca qui per scoprire le conseguenze della pulpite).
Il nervo potrebbe essere infettato in seguito alla:
- carie profonda e molto estesa che ha raggiunto il nervo;
- rottura o scheggiatura del dente;
- interventi dentistici ripetuti;
- abrasione dei denti (denti consumati).
Alcuni dentisti, sopratutto quelli della vecchia scuola, potrebbero consigliare di fare la devitalizzazione anche quando i denti devono essere ricoperti con le corone o ponti dentali. Adesso, si cerca quasi sempre, di mantenere il dente vivo sotto le corone.
Quali sono i sintomi che indicano la necessità di una cura canalare?
Se presenti i seguenti sintomi, deve rivolgersi dal dentista per un’eventuale devitalizzazione del dente:
- forte sensibilità al caldo o al freddo;
- lo scolorimento dei denti e gonfiore evidente;
- il dolore constante, specialmente alla masticazione;
- il dolore notturno.
Qual è il processo di devitalizzazione dentale?

Anche se la cura canalare, sembra una procedura semplice, in realtà si richiede maggiore attenzione e massima concentrazione, perché si lavora nel canale del dente – un punto molto stretto e sensibile.
La devitalizzazione del dente, prevede le seguenti fasi:
- l’apertura della struttura del dente, per permettere al dentista di raggiungere il canale;
- il tessuto infettato viene rimosso, dopo viene fatta la detersione e sterilizzazione del canale per evitare il diffondersi di batteri e tossine;
- preparazione e l’otturazione del canale;
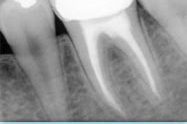
- controllo radiografico del risultato;
- nel caso in cui ci sarà bisogno, si applica una corone dentale per sigillare e proteggere il dente.
Per un migliore risultato di queste fasi nel processo di devitalizzazione, si raccomanda di utilizzare sistemi d’ingrandimento. Il microscopio e le lupe d’ingrandimento rendono chiaramente visibili i dettagli e le strutture fini.
Accedi qui per leggere un intero articolo in cui abbiamo sviluppato l’importanza dei sistemi d’ingrandimento in odontoiatria.
Per capire meglio il processo di devitalizzazione, La invitiamo a guardare questo video:
La devitalizzazione dei denti fa male?
Durante la cura canalare, non sentirà nessun dolore, perché viene eseguita sotto anestesia locale. Dopo che passa l’anestesia, il dente devitalizzato può provocare un po di fastidio e minimi dolori. Questa è una reazione normale per qualche giorno. Se non può sopportare i dolori, può prendere antidolorifici. Se i dolori persistono per tanto tempo, deve avvisare il Sua dentista.
Che influenza ha la devitalizzazione sulla salute e la funzionalità dei denti?
Il tessuto nervoso ha un ruolo molto importante durante la crescita e lo sviluppo del dente, ma una volta che il dente si è formato attorno alla gengiva, la funzione del nervo è solo di rilevare sensazioni di caldo o freddo al contatto con i denti.
La presenza o l’assenza di un nervo non influirà sul funzionamento quotidiano del dente ma, come nel processo della devitalizzazione, con il nervo si tolgono anche i vasi sanguini che alimentano il dente, in conseguenza questo diventa più fragile e può cambiare il colore; diventa marrone.
La devitalizzazione è molto importante quando il dente è affetto da un’infezione. È l’unica possibilità di salvarlo. Dopo questa procedura, è necessario visitare il medico almeno 3-4 volte l’anno per assicurarsi che tutto stia andando bene.











Spelling error report
The following text will be sent to our editors: