Gebrochener Zahn
Warum brechen unsere Zähne und wie können wir sie reparieren? Konsequenzen. Was passiert, wenn wir die Reparatur des gebrochenen Zahns verschieben? Wie viel kostet die Rekonstruktion / Reparatur des gebrochenen Zahns?
DetailsSearch dental blog:
Warum brechen unsere Zähne und wie können wir sie reparieren? Konsequenzen. Was passiert, wenn wir die Reparatur des gebrochenen Zahns verschieben? Wie viel kostet die Rekonstruktion / Reparatur des gebrochenen Zahns?
DetailsDie apikale Parodontitis kann gefährlich werden, wenn Sie die Behandlung verzögern. Vom akuten Stadium geht es in das chronische Stadium über, bis sich eine apikale Zyste entwickelt, die sich bis zu den Nachbarzähnen, bis zur Kieferhöhle oder in der Nähe des Nervus mandibularis erstrecken kann. Die Entfernung der Zyste wird komplizierter mit unangenehmen Folgen und höheren Kosten.
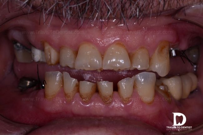
Detailsdie Abnutzung, die Erosion, das Ausbrechen und die Abtragung sind Formen des Zahnabriebs. Alle 4 stehen für die Zahnverschleiß und die Zahnabnutzung. Die Ursachen des Auftretens unterscheiden sich voneinander, daher sind die Lösungen, die angewendet werden, für jeden von ihnen spezifisch.
DetailsDie Parodontose entwickelt sich praktisch schmerzfrei weiter, stattdessen sind die Auswirkungen einer Parodontitis oft schmerzhaft, insbesondere beim Bürsten oder Kauen von harten Lebensmitteln. Beide Parodontalerkrankungen sind schwer wiederherzustellen, aber im Gegensatz zur Parodontose kann die Parodontitis vollständig behandelt werden.
DetailsDas Schließen des Tremas (Zwischenräume zwischen den Zähnen) erfolgt mit der Zahnspange in Kombination mit den Keramikschalen (Veneers). Diese werden selbst die feinste Details korrigieren.
DetailsDer Bruxismus, die Ernährung und unsere Lebensweise führen zu den abgenutzten Zähne. Es gibt jedoch Lösungen, um die abgenutzte Zähne zu verhindern und wiederherstellen.
DetailsDie Zähne werden allmählich beweglich, aber die Folgen dieses Problems sind unangenehm. Glücklicherweise gibt es Lösungen, die bei rechtzeitiger Anwendung Ihre Zähne retten können.
DetailsDer Zahnverlust? eins nach dem anderen hat es eine Reihe von Ursachen. Finden Sie heraus, wie Sie den Zahnverlust verhindern können und welche Lösungen verfügbar sind, wenn einige Zähne fehlen
DetailsTeeth loss ? one each ? one is due to a number of causes. Learn how to prevent tooth loss and what solutions are available if you have a few missing teeth
DetailsLa perte des dents ? un par ? un est due à une série de causes. Découvrez comment prévenir la perte de dents et quelles sont les solutions si vous avez quelques dents manquantes
DetailsFinden Sie heraus, was totaler Zahnlosigkeit ist, die Ursachen des Auftretens, Fotos, Röntgenbilder von zahnlosen Patienten, Lösungen, Preise, um der totalen Zahnlosigkeit zu lösen.
DetailsEs besteht die Möglichkeit, feste Zähne zu erhalten, selbst wenn die Knochenbedingungen minimal sind. Finden Sie heraus, was diese Möglichkeiten sind und welche Vorteile Sie erhalten, wenn Sie die eine oder andere der vorgeschlagenen Optionen wählen.
DetailsGeben Sie uns Ihre Telefonnummer und wir rufen Sie an!
Geben Sie uns Ihre Telefonnummer und wir rufen Sie an!
Fehlerbericht
Der folgende Text wird anonym an den Autor des Artikels gesendet: